Доброкачественная патология молочных желез (опухоли и опухолеподобные процессы): протоковая неоплазия, внутрипротоковые папилломы, кисты молочных желез, галактоцеле, аденома молочной железы, фиброаденома молочной железы, листовидная опухоль молочной железы, липома молочной железы, псевдоангиоматозная стромальная гиперплазия, очаговый фиброз (локализованный фиброаденоматоз), аденозы молочных желез ( склерозирующий аденоз, радиальный рубец), воспалительная псевдоопухоль молочной железы, гинекомастия.
Киста молочной железы
Киста молочной железы встречается у 50% женщин репродуктивного возраста, у мужчин встречается достаточно редко. Размеры могут меняться в зависимости от фазы менструального цикла.
При самостоятельном обследовании проявляется как округлое образование, подвижное, безболезненное.
В молодом возрасте с целью инструментальной диагностики предпочтение отдается УЗИ молочных желез. У пациенток с иволютивными изменениями, возможно проведение маммографии.
Принято различать простые (гомогенные) и сложные (гетерогенные) кисты молочных желез. Простые кисты небольших размеров могут наблюдаться в динамике и не имеют злокачественного потенциала. Хирургическое лечение показано в случаях неэффективности консервативной терапии.
простая киста молочной железы.
Сложные кисты обязательно подвергаются инвазивным методам диагностики с цитологическим или гистологическим исследованием материала. Вероятность озлокачествления сложной кисты равна 0.3%. При выявлениях сложных кист хирургическая тактика предлагается более активно.
сложная киста молочной железы.
В настоящее время в СПб больнице РАН мы можем предложить безоперационные способы удаления сложных кист молочных желез, методом ваккуумно-аспирационной резекции.
Галактоцеле
Галактоцеле - это объемное образование с жидкостью молочного цвета. Данная патология развивается во время беременности или в период лактации.
При осмотре пальпируется плотный узел.
полость с густым содержимым.
Для лечения используется аспирация содержимого кистозной полости с консервативной терапией по показаниям.
В маммологическом отделении СПб больницы РАН пациентка может пройти качественное лечение при этой патологии.
Фиброаденома
Фиброаденома - доброкачественная опухоль молочных желез из компонентов соединительной ткани. Это самый частый вариант доброкачественных опухолей молочных желез.
Наиболее часто встречается в возрасте 20-35 лет.
В 15% случаев процесс носит множественный характер.
При осмотре определяется в виде плотного узла, с четкими границами.
Для диагностики у пациенток до 30 лет, как правило, используется УЗИ, в старшем возрасте маммография. При сложных клинических случаях возможно проведение МРТ.
Необходимость биопсии зависит от клинических и лабораторных данных.
Переход в рак молочной железы наблюдается редко от 0.5 до 1.5% наблюдений.
При благоприятном течении процесса допускается динамический контроль за образованием.

Традиционно при выявлении фиброаденомы молочной железы пациентке предлагается проведение секторальной резекции молочной железы. При этом варианте оперативного лечения форма молочной железы не нарушается. Однако, после вмешательства остается п/о рубец.
В нашей клинике мы предлагаем безоперационный метод удаления фиброаденом при помощи вакуумно-аспирационной резекции. Доступ осуществляется через прокол кожи 2-3 мм, а сама ткань новообразования удаляется под УЗ контролем.

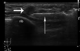
На рисунке показано подведение инструмента (тонкая стрелка) к образованию (короткая стрелка) молочной железы.
Методика безопасна, является альтернативно секторальной резекции при доброкачественных образованиях молочных желез, обладает низким процентом осложнений и хорошо переносится пациентами.
Липома молочной железы
Липома молочной железы - доброкачественное образование возникающее в 1% наблюдений.Чаще всего имеет узловую форму. Представлено мягким образованием овальной или дольчатой формы. Для диагностики чаще всего применяется УЗИ и маммография.
Основной лечебной опцией является динамическое наблюдение, а хирургическое лечение проводится при сомнении в диагнозе или из косметических целей.

Малигнизации, как правило, они не подвергаются.
Листовидная опухоль
Листовидная опухоль -это редкая группа опухолей, с частотой встречаемости около 0.3% от всех новообразований молочных желез.
Средний возраст женщин страдающих данной патологией варьирует от 45 до 49 лет.
В 80% опухоль является доброкачественной. Около 5% составляет злокачественная форма. Остальные случаи относятся к пограничному типу.

Клиническое течение делится на 2 периода: период стабилизации и период интенсивного роста.
С целью инвазивной диагностики предпочтение отдается cor-биопсии.
Лечение в большинстве случаев хирургическое. При небольших опухолях проводится секторальная резекция молочной железы. Проведение энуклеации опухоли недопустимо из-за почти 100% риска рецидива образования.
При объемных злокачественных опухолях проводится мастэктомия без лимфаденэктомии с последующим динамическим контролем.
Прогноз - благоприятный.
Псевдоангиоматозная стромальная гиперплазия
Патология встречается редко. При пальпации определяется безболезненное образование с отеком кожи по типу «лимонной корки»
Для дообследования используют весь спектр инструментальной диагностики (маммография, УЗИ, МРТ).
При выявлении данной патологии, лечение хирургическое. Допустимо проведение вакуумно-аспирационной резекции, в ряде случаев, секторальной резекции молочной железы.
Прогноз - благоприятный.
Аденозы
Группа доброкачественных, узловых образований молочных желез с различными вариантами течения.
Варианты:
- склерозирующий аденоз
- радиальный рубец
- аденоз с расширением концевых отделов
- микрогландулярный аденоз
- апокриновый аденоз
- миоэпителиальный аденоз
Наиболее характерный интервал возникновения данных образований 35-50 лет. Наиболее часто встречается склерозирующий аденоз. С целью установки диагноза в большинстве случаев используется маммография, УЗИ является малоспецифичным методом.

С целью лечения применяются все виды хирургического пособия (эксцизионная биопсия или секторальная резекция молочной железы).
Радиальный рубец.

Данный аденоз требует более пристального рассмотрения, так как обладает высоким риском перерождения в злокачественную опухоль. С целью установки правильного диагноза используется маммография. Оптимальной лечебной тактикой является проведение вакуумно-аспирационной биопсии( резекции). При выявлении фокусов атипической протоковой гиперплазии показано проведение секторальной резекции молочной железы.
Воспалительная псевдоопухоль
Воспалительная псевдоопухоль - это узловое доброкачественное образование молочных желез.

Данная патология может свидетельствовать о перенесенных травмах, воспалительных заболеваниях или внедрении инородного тела. Встречаемость достаточно редкая. Для диагностики используется маммография, реже - УЗИ.
С целью лечения применяется вакуумно-аспирационная резекция, либо секторальная резекция молочной железы.
Прогноз благоприятный.
Эктазия протоков
Эктазия протоков - прогрессирующее расширение протоков молочной железы, как правило, в подсосковой зоне. Часто сопровождается выделениями из молочных желез, разного характера.
Лечение симптоматическое.
Прогноз - благоприятный.
Гинекомастия
Гинекомастия - увеличение молочных желез у мужчин.
В настоящее время данная патология встречается у 1/3 взрослых мужчин.
Различают истинную и ложную гинекомастию.
Ложная гинекомастия формируется за счет отложения жира в области молочных желез и не связана с процессами гиперплазии.
Истинная гинекомастия возникает вследствие пролиферации стромы и протоковый молочных желез у мужчин.

Причины возникновения гинекомастии разнообразны. К этому состоянию приводят различные эндокринные заболевания, генетические нарушения, патология нейроэндокринных процессов, паранеопластические процессы.
Клинически гинекомастия может быть узловой и диффузной, одно и/или двусторонней. Степень проявлений варьирует от 1 до 4.
Для диагностики используют УЗИ, реже маммографию.
С целью лечения возможно проведение лекарственной коррекции направленной на снижения содержания эстрогенов в организме.
Узловые формы гинекомастии подлежат хирургическому удалению.
В маммологическом отделении СПб больницы РАН проводится весь спектр хирургических вмешательств при данном заболевании, в том числе с применением методов коррекции сосково-ареолярного комплекса для профилактики его западения и нарушения эстетики груди.